-
丁寧で分かりやすい説明
インプラント治療のコンセプトとして、「患者様と一緒に治す」を掲げています。その為、カウンセリングを大切にし、一つひとつ不安やお悩みを一緒に解決していくことができるように、丁寧でわかりやすい説明を心がけています。
-
豊富な治療実績
豊富な治療実績・経験・知識のある歯科医師がインプラント治療を行います。
他院でインプラント治療を断られてしまった方や難症例の方も、当院では治療ができる可能性があります。
ぜひ一度ご相談ください。 -
安心のアフターケア
豊富な治療実績を持つ歯科医師が一人ひとりに合った治療を行うため、安心して治療を受けていただけます。また、治療後のアフターケアにも万全な体制を整えています。インプラントをより長く使用していただけるように、インプラント10年保証や定期検診にてホームケアのアドバイスなども行います。
インプラント
TROUBLE このような方はご相談ください
-
なるべく普段通り
食事が出来る治療が良い -
入れ歯が
すぐに外れてしまう -
1日で仮歯まで
装着してほしい -
入れ歯など
周囲に気付かれる治療は
気が進まない -
ブリッジを勧められたが、
健康な歯を削る事に
抵抗がある
このようなお悩みをお持ちの方で
わからないことやご心配な点がございましたら
お気軽にご相談ください。
IMPLANT TREATMENT
歯を失ってお悩みの方に
インプラント治療をおすすめします
インプラント治療とは、失ってしまった自分の歯の代わりに、
インプラント体と呼ばれる人工の歯根を埋め込み、その上に人工の歯を作製して噛み合わせを回復する治療法です。
固定性であるため安定感があり、自分の歯のように噛んだり、話したり、笑うことができます。
入れ歯やブリッジの違和感にお悩みの患者様、何度作り直しても入れ歯が合わない方など、
ぜひ一度お気軽にご相談ください。
インプラント治療のメリット
-

自然な見た目
天然歯のような自然な見た目に仕上がります。入れ歯の様に歯を安定させる金属のバネを付ける必要もありません。
-

長期間安定した咀嚼
天然歯のようにあごの骨にしっかりと固定することにより違和感のない安定した咀嚼を長期間保つことができます。
-

噛む力が回復する
むし歯などで失った歯の本数が多くても、噛む力を天然歯の約90%まで回復することができます。
-

あごの衰退を防ぐ
歯を失ったあごの骨は、噛むことによる刺激がないため少しずつに衰退してしまいます。インプラントはあごの骨を刺激するため骨の衰退を防ぎます。
-

健康面・精神面の向上
噛むことで脳に刺激を与え、脳が活性化されます。また、しっかりと咀嚼することができ、若返りホルモンの分泌を促します。
-

比較的短い治療期間
ご希望の患者様には初日に仮歯を埋める対応をしております。最終補綴物は2ヶ月前後で埋入できますので比較的早くに治療ができます。
インプラント治療のデメリット
-

外科手術が必要
外科手術が必要なため、身心共に負担がないとはいえません。また、手術には十分な骨の量が必要であり、足りない場合はそれを補う手術も必要となります。
-

費用が高くなりやすい
保険適用外の治療のため、入れ歯やブリッジなど他の治療方法に比べると費用が高くなります。


FEATURE かのう歯科医院のインプラントの特徴
リラックスできる
落ち着いた環境
インプラント治療は治療費も高額でありオペも伴うため、ご不安に思われる方がたくさんいらっしゃいます。少しでもご負担を軽く、そしてご安心頂けますように、清潔でリラックスできるような落ち着いた空間づくりを心掛けております。
こだわりの
インプラントメーカー
現在世界中に様々なインプラントメーカーがある中で、世界的にも高い評価を受けていストローマン社製のインプラントを使用しています。歴史が長く、常に開発をし続け、成長が止まることのない世界的メーカーのインプラントを使用することで、より安全なインプラント治療をご提供することができます。
より安全な手術を行うための設備
-
歯科用CT
インプラント治療では、患者様の骨の厚さや形状をしっかりと把握することが重要です。
歯科用CTを使用すると立体的に確認することができ、埋入位置や角度を精確に診査・診断できます。 -
サージカルガイド
より安全にインプラント治療を行えるように「サージカルガイド」を導入しています。サージカルガイドを使用することで、インプラント体埋入時に着地点や角度を精確に導くことが可能になります。また、サージカルガイドはCT撮影データをもとにコンピューター上でシミュレーションを行った後に作製します。
-
エアロシステム
快適な環境で治療を受けていただけるように、空気清浄装置エアロシステム35Mを導入しております。
ウィルス・細菌・微粉塵をはじめとして、臭いや花粉まで除去することが出来る医療用の空気清浄機です。 -
インプラント専用ルーム
インプラント治療は通常の歯科治療と異なり、顎の骨にインプラントを埋め込むという外科的手術が伴う高度な治療です。その成功のためには整った衛生環境が必要です。かのう歯科医院では、外科処置を行う際には「インプラント専用の診療室」を使用します。空調や多くの器具のひとつひとつにまで、全てに至って完璧に管理された診療室ですので、安心して手術を受けていただけます。
治療後も安心の
10年保証
インプラント治療年数や実績、所属学会また治療設備や院内の体制、メインテナンス体制など、一定水準以上のインプラント治療を遂行する能力を有する歯科医療機関にて、治療を受けた患者様のみが受けることのできる保証です。治療を受け、保証に加入していただいた患者様は術後10年間に渡り、万が一問題が生じた場合でもインプラント保証規約に基づき責任を持って、インプラントの再治療を行いますのでご安心ください。


更にかのう歯科医院は
"機能的かつ美しく治す"ことに
FUNCTIONAL AND
BEAUTIFUL CURE
前歯のインプラント治療は、機能回復させることのみならず、審美的に見た目も天然の歯のように、自然に綺麗に治療することが重要な要素になります。
より自然な歯に見せるためには、周囲の歯と歯肉との調和が重要になってきます。そのためには、周囲の骨の状態、歯肉の状態、歯の状態をしっかりと把握した上で治療計画を行い、インプラントの入れる位置を決定しなければなりません。また、上部構造(インプラントの歯)の形態に関しても、十分な配慮が必要不可欠となってきます。これらの条件を全て熟知し治療を行ってこそ、口腔内の良好な状態を長期的に保つことが出来る、機能的かつ審美的なインプラント治療が可能になると言えます。
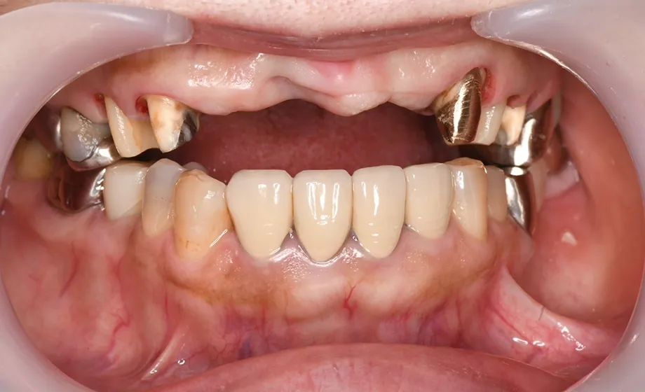
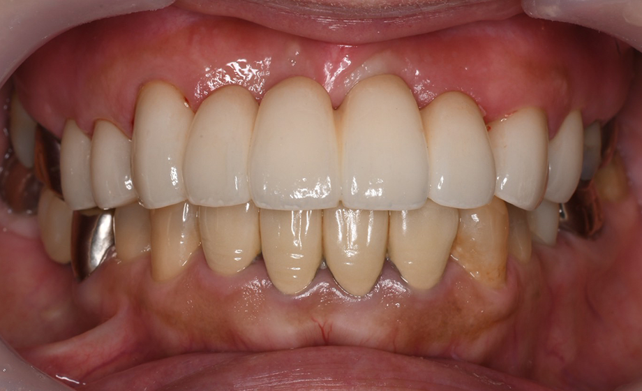
LOST 多くの歯を失ってしまった方へ
All-on-4(オール・オン・フォー)
All-on-4(オール・オン・フォー)とは、最小4本のインプラントで人工の歯を支え、12本分の歯の働きを実現できます。しっかりとした仮歯の装着まで、1日で行うことが可能です。午前中に施術の場合、夕食もやわらかいものであれば召し上がって頂くことが出来ます。(※症例により個人差もあるため、出来ない場合もあります) 現在、総入れ歯を装着されている方や、歯周病などにより残存する健全歯では十分に咀嚼することが困難な方に対して、少ない本数のインプラントで、自分の歯と同じようにしっかり咬める義歯をインプラント上に固定し、咀嚼機能の改善を行う方法です。
All-on-4(オール・オン・フォー)の
メリット
- 食べ物が挟まって痛むことがない
- 硬い食べ物を安心して食べることができる
- 発語・発音が正確になる
- 取り外す煩わしさがなく、日常生活が豊かになる
埋め込むインプラントの本数が少ないので、1日で仮歯の装着ができます。
しっかりと噛むことができるので、若々しい顔つきを維持することができます。
TYPE
骨の量や高さを理由に他院で断られてしまった方へ
インプラント治療には、顎の骨量や高さが大きく関係するため、治療ができないと断られる場合もありますが
骨造成や骨移植を行うことで、治療が可能になるケースがあります。
患者様一人ひとりの骨の状態をしっかりと診断し、最適な治療をご提案させていただきます。
骨の移植・再生術
-
ソケットリフト
上顎の奥歯の骨の量が足りず治療ができない場合に行う方法です。上顎の下から穴を開け、隙間を作り、再生療法や骨移植などで骨の量を補う方法です。
-
(1)骨が薄い状態。
-
(2)器具が入るように骨を形成する。
-
(3)上顎洞の粘膜に傷つけないように押し上げる。
-
(4)さらに代用骨又は自家骨を填入しながら押し上げる。
-
(5)押し上げたスペースにインプラントを埋入し固定する。
-
(6)治癒期間を待つ。
-
-
サイナスリフト
上顎の奥歯の骨の量が足りず治療ができない場合に行う方法です。
上顎の側面から穴を開け、隙間を作り、再生療法や骨移植などで骨の量を補う方法です。-
(1)骨が薄くインプラントができない。
-
(2)口腔内頬の粘膜よりアクセスする。
-
(3)上顎洞の粘膜に傷つけないように押し上げる。
-
(4)代用骨又は自家骨を填入しながら押し上げる。
-
(5)治癒期間を待つ。
-
(6)骨が薄い状態出来た骨にインプラントを埋入する。 または、サイナスリフトと同日にインプラントを埋入する。
-
-
GBR
抜歯などによって吸収されて消失してしまった歯槽骨を再生させたり、骨の高さや幅が足りない場合に骨造成で骨量を増やす方法です。
-
(1)欠けたように骨が足りない。
-
(2)歯肉を開け骨にアクセスし骨面を整える。
-
(3)代用骨又は自家骨を填入し縫合する。
-
(4)治癒期間を待つ。
-
(5)出来た骨にインプラントホールを形成する。
-
(6)インプラントを埋入する。または、GBRと同日にインプラントを埋入する。
-
-
スプリットクレスト
顎の骨の幅が狭かったり、骨量が不足している時に用いる方法です。特殊な器具を骨の上部に挿入して骨を広げてできた隙間にインプラントを埋入します。
-
(1)骨が細くインプラントができない。
-
(2)歯肉を開け骨にアクセスし骨面を整える。
-
(3)骨の間に切れ目を入れ、骨を広げる。
-
(4)広げた骨の間隙に代用骨又は自家骨を填入し縫合する。
-
(5)治癒期間を待つ。
-
(6)出来た骨にインプラントを埋入する。または、スプリットクレフトと同日にインプラントを埋入する。
-


INTRODUCTION 症例のご紹介
インプラント症例①
| 施術内容 | 左下5番6番をインプラントで施術 |
|---|---|
| 治療期間 | 2ヶ月 |
| 治療費 | インプラント体埋入275,000円×2本=550,000円 上部構造66,000円×2本=132,000円 |
| リスク・副作用 | 術後数日痛みや腫れが起こることがあります。 |
インプラント症例②
| 施術内容 | 右上1番を歯肉付きインプラントで施術 |
|---|---|
| 治療期間 | 2ヶ月 |
| 治療費 | インプラント体埋入275,000円 上部構造66,000円 |
| リスク・副作用 | 術後数日痛みや腫れが起こることがあります。 |
FLOW インプラント治療の流れ
-

インプラントご相談
患者様のご要望を伺い、現在のお口の状態から考えられる可能ないくつかの治療法を、インプラントに限ることなくご提案をさせていただきます。また、必要に応じてCT撮影も行います。全身疾患や他院で断られてしまった方もまずはお気軽にご相談ください。
-

精密検査・診断
インプラント治療を行うためには、口腔内の状態や骨の状態など様々なデータが必要となります。レントゲン写真や口腔内写真、歯科用CTでの精密検査を行い、インプラント治療に必要な情報を集めます。その後、CT検査のデータをもとにインプラントプランニングソフトで解析をし、3Dシミュレーションを行います。
-

治療計画の説明
検査結果をもとに、最適なインプラント治療の計画をご提案させて頂き、それに合わせてお見積もりを作成させて頂きます。治療計画にご納得いただけましたら、インプラント手術の日程を決定いたします。しっかりとご納得いただいた上で、治療に入りますのでご安心ください。
-

インプラント埋入手術
治療計画に基づいて、インプラントを骨に埋入する一次手術を行います。治療は麻酔をしっかり効かせてから始めますので、痛みを感じることはありません。(非常に不安が強い患者様には、鎮静麻酔法での手術も可能です)インプラントの本数や骨の状態にもよりますが、通常約2時間で手術は終了します。その後、インプラント体と顎の骨が結合するまで、1~3ヶ月程度治癒経過を取ります。
※手術の翌日は状態の確認と消毒に来院をお願いしています。
※縫合した場合、2週間後にも来院をお願いしています。
※GBRやサイナスリフトで多くの骨を作った場合は、7ヶ月程度治癒期間を取ります。
※術後、麻酔が切れると痛むことがありますが、痛み止めを飲んで止まる程度です。腫れることもございますが、殆どの場合において2〜3日で治ります。多くの骨を作った場合は、1週間位で治ります。(個人差があります)) -

上部構造の作製・装着
インプラントと顎の骨がしっかりと結合していることを確認したら、上部構造を作成するために型を採取し、その後装着します。
-

治療終了・メンテナンス
治療が終わった後も、定期検診(1〜3ヶ月に1回程度)をしながらきちんと管理していきましょう。インプラント自体はむし歯にはなりませんが、歯周炎のようなインプラント周囲炎という病気になる可能性がございます。定期的なメンテナンスで長く快適にお使い頂けます。
インプラント周囲炎にご注意ください
インプラント周囲炎とは、インプラントと周囲の粘膜や骨に起こる炎症です。
歯科医院での定期的なメンテナンスと毎日の歯みがきで予防することができます。
かのう歯科医院では、インプラント周囲炎になることがないように、治療後もしっかりとサポートをしていきます。


COMPARISON 他の治療方法との比較
歯を何らかの原因で失ってしまったとき、
これまでは両サイドの歯を削り治療を行うブリッジ又は、取り外し可能な入れ歯が一般的でした。
しかし失った歯を補う為に健康な歯を削ったりと、周囲の歯も弱らせてしまい、噛み心地や見た目の問題も多くありました。
周囲の歯に負担をかけない設計が可能なインプラント治療は、
口腔内の良好な状態を長期的に保つことができる最良な治療法だと考えています。
ブリッジ・入れ歯との違い |
|||
|---|---|---|---|
インプラント![]() |
ブリッジ![]() |
入れ歯![]() |
|
| メリット | ・天然歯と同じような仕上りなので、審美性に優れている ・ほかの歯へ影響しない |
・外科手術不要 ・保険適用可能 |
・外科手術不要 ・保険適用可能 |
| デメリット | ・外科手術が必要 ・費用が高くなりやすい |
・周辺の健康な歯を支えとするので負担がかかる ・両隣の歯をたくさん削る必要がある |
・違和感や異物感を感じることもある ・留め具をかける歯に負担がかかる |
| 治療期間 | 仮歯(即日)~最終補綴物(1,2ヶ月) | 仮歯(即日)~最終補綴物(1ヶ月) | 型取りから1週間~2週間 |

インプラント治療は残存率も高い
1965年、ブローネマルク教授によって治療された最初の患者様は、治療後40年近く当時のインプラントを使用して、最近亡くなりました。現在、ブローネマルクインプラントの20年累積残存データとして発表されているものには、1983年から85年にかけて治療された報告で、上顎90.0%、下顎92.3%というデータがあります。また、10年以上のデータでは96%という報告や、5年以上のデータでは98%以上という報告もあります。一方、天然歯でブリッジ治療を行った場合の残存率は60〜70%程度。このことからも、インプラント治療の治療成績の良さをお分かりいただけると思います。
FEE 治療費
| 診査・診断(CT含む) | ¥13,200 |
|---|---|
| インプラント埋入 | ¥275,000 |
| 上部構造(白いかぶせ物 ジルコニアセラミッククラウン) | ¥66,000 ~ ¥132,000 |
| All-on-4(片顎) ※インプラントの本数・義歯の材質により異なります |
¥2,750,000 |
| 診All-on-4(両顎) ※インプラントの本数・義歯の材質により異なります |
¥5,000,000 |
※備考※
ソケットリフトやサイナスリフトなどのオプションは症例の難易度により価格が変動します。
お支払方法
当院は、現金または各種クレジットカードでのお支払いが可能です。
JCB / AMERICAN EXPRESS / Diners / VISA / MasterCard
デンタルローンのご利用も可能です
当院では、デンタルローン制度を
-
無理なく
毎月支払いたい -
費用が高額で
インプラント治療を諦めていた -
治療費で
妥協した選択をしたくない
デンタルローンを利用することで、一度に負担する金額を軽減することができ無理することなく治療を始めることができます。
また、デンタルローンでのお支払い分も医療費控除の対象となります。
詳しくはお問い合わせください。
最長10年保証いたします
かのう歯科医院では、患者様により安心してインプラント治療を受けていただくために、インプラント治療後10年間の保証制度を設けております。
患者様の不注意や不慮の事故等を除き、万一埋入したインプラントに支障が生じた場合は、責任を持って再度治療を行いますので、お気軽にご相談ください。
医療費控除
インプラントの治療費は医療費控除の対象となることがあります。
医療費控除とは、自分自身、もしくは生計を一にする配偶者やその他の親族のために1年間で10万円以上の医療費を支払った場合、一定の金額を所得金額から控除できる制度です。(その年の1/1~12/31までに支払った医療費であること)領収書や通院の際にかかった経費の領収書などは保管しておきましょう。
リスク・副作用について
- ・インプラント治療は健康保険が効きませんので自費診療となります。
- ・骨が成長途中であるお子さん(およそ18歳未満の方)はインプラント治療ができません。
- ・インプラント治療では痛み止めや抗生物質等を使用するため、妊娠中の方、妊娠の可能性のある方、授乳中の方はインプラント治療を控えてください。
- ・心疾患、骨粗鬆症など内科的な疾患のある方は、インプラント治療に適さない場合があります。
- ・インプラント治療は外科手術を行う必要があります。
- ・インプラントを固定するために骨造成治療が必要となることがあり、その場合は別途費用がかかります。
- ・インプラント治療は、インプラントが骨に接着するまでに約3ヶ月~6ヶ月の治癒期間を要します。
また、インプラントを埋め込む骨の厚みを増やす手術を行う場合は、さらに治療期間がかかります。 - ・手術した時に感染が生じると蓄膿症になる場合があります。
この場合は、インプラントを除去し、耳鼻咽喉科で治療を受けていただくことがあります。 - ・手術直後は、腫れや痛み、違和感、出血などが発生する場合があります。個人差はありますが大体2~3日で治まります。
- ・口腔内の衛生状態が悪い方、歯ぎしり、くいしばりの強い方はインプラント周囲炎を引き起こす可能性があります。


セラミック治療
TROUBLE このようなお悩みありませんか?
-
今の銀歯を 白くてきれいな歯 を替えたい
-
白くてきれいな歯 を手に入れたい
-
金属アレルギーがある
-
むし歯の再発を防ぎたい
-
口臭が気になる
-
歯の形が気になる
そのお悩み、当院へお任せください
当院ではセラミック治療のメリットを多くの患者様に感じていただけるように、
手の届きやすい価格帯に設定し、「確かな品質の治療をより多くの患者様へ」をモットーに診療を行っています。
口元にお悩みをお持ちの患者様は、ぜひ当院へ相談してみてください。
CERAMIC セラミック治療について
白い歯をより長く
お楽しみいただく為に

セラミックは透明度が高く、美しい白さ、耐久性の高さ、汚れが着きにくいことが特徴の素材です。
当院は金属アレルギーの方に安心なメタルフリー素材を使用しています。さらにセラミックは金属素材に比べて、むし歯の再発リスクが少ないことも特徴です。
セラミックで
きれいな口元を実現

セラミック治療の際に歯の色だけでなく歯並びや歯の形も一緒に改善できることがあります。
歯を適度に削り、セラミックの被せ物や差し歯を装着します。通常の歯列矯正に比べてコストを抑えて、早い期間で理想の口元にすることが可能です。
セラミック製作専門の
歯科技工所と提携

当院ではセラミック製作を専門に行っている歯科技工所と提携しています。
多分野の素材を扱うところと比べて、当院提携の技工所ではセラミック素材を扱う量が多いため、一つ当たりの材料費を抑えることができます。そのため、手の届きやすい価格帯で、より多くの患者様に提供が可能です。
5年間保証制度

当院で行ったセラミック治療に関して、万が一、再治療になった場合、5年間の保証制度があります。日常生活の中で起きた破損であれば、この保証に基づき無償でお作り直しいたします。
※この保証は、当院で定期的なメインテナンスを受けていただいている方が対象です。
CONTACT
セラミック治療のメリット
-

天然歯に近い色調や質感で、自然な見た目に仕上げられます。
-
強度や耐久性が優れており、長期間にわたって使用可能できるため長い目で見るとコストパフォーマンスは悪くありません。
-

汚れが付着しにくいため、むし歯になりにくいです。
-

ほとんど変色せず、歯ぐきに影響がなく、黒ずみません。
セラミック治療のデメリット
-

自費診療のため保険診療に比べると費用がかかる。
-

陶製の材料のため瞬間的な強い力がかかった時は陶器のように割れる恐れがある。
CONTACT
INTRODUCTION 症例のご紹介
セラミック症例①
| 施術内容 | 右下3番をオールセラミッククラウンで施術 |
|---|---|
| 治療期間 | 1ヶ月 |
| 治療費 | 132,000円 |
| リスク・副作用 | 被せ物にするために歯を削らなければならない。 |
セラミック症例②
BEFORE
AFTER
| 施術内容 | 左上4番~右上5番をオールセラミッククラウンで施術 |
|---|---|
| 治療期間 | 1ヶ月 |
| 治療費 | 66,000円×9本=594,000円 |
| リスク・副作用 | 被せ物にするために歯を削らなければならない。 |
FLOW セラミック治療の流れ
-

ご予約・ご相談
セラミック治療に興味がある方、治療方法や費用などの相談をしたい方は、お電話またはWEB予約、メールお問い合わせより無料相談をご予約ください。
-

精密検査・診断
現在のお悩みや治療に関するご要望をお聞きし、検査結果に基づいたご提案をさせていただきます。
-

治療計画説明
患者様のご希望・状況に応じてご相談しながら、治療のゴールを決めていきます。
-

補綴カウンセリング
どのような補綴物で治療を進めていくかしっかりとカウンセリングしながら材料を決定します。
場合によっては、②のカウンセリングの際に実施する場合もございます。 -

治療開始(型取り)
該当する部分の歯を削り、仮歯を入れます。
また、必要に応じて歯の根の治療などを行います。
その後、セラミックの歯を作るための型取りを行います。 -

セラミックセット
完成したセラミックの歯を実際に装着し、お口の中で調整します。
-

メンテナンス
装着後、問題がないか確かめます。
この時点で治療は終了です。
リスク・副作用について
・金属単体のインレー・クラウンより若干、歯の体積を削る量が多いことがあります。
・事前に神経の処置(根管治療)や土台(コア)の処置が必要となることがあります。
・個人差により、ごく稀に欠けたり壊れる可能性があります。
・噛み合わせや歯ぎしりの強い方は、破損防止のためにマウスピースをおすすめすることがあります。
FEE 治療費
| 白い詰め物(インレー) | |
|---|---|
| ダイレクトボンディング | ¥33,000 |
| ジルコニアインレー | ¥44,000 |
| E-maxインレー | ¥55,000 |
| 白い被せ物(クラウン) | |
|---|---|
| ハイブリットクラウン | ¥38,500 |
| ジルコニアクラウン | ¥66,000 |
| E-maxクラウン | ¥88,000 |
| 陶材焼付ジルコニアクラウン | ¥132,000 |
※備考※
ハイブリットクラウンは保障適用外です
お支払方法
当院は、現金または各種クレジットカードでのお支払いが可能です。
JCB / AMERICAN EXPRESS / Diners / VISA / MasterCard
CONTACT
GREETING ご挨拶
ご挨拶
地域の皆様から信頼される
かのう歯科医院のホームページにお越し頂きありがとうございます。
私どもは、『地域の患者様とのコミュニケーションと健康へのお手伝いの一歩』としての歯科医療を心がけ、来院いただいた患者様がいつも健康で笑顔になっていただける医院作りをスタッフとともに目指しています。
略歴
- 1957年
- 福岡生まれ
- 1982年
- 松本歯科大学卒業
- 1987年
- 青方歯科医院開院 院長就任
- 1999年~2022年
- 現かのう歯科医院開院 院長就任
- 2022年~
- 医療法人 英亨会 理事長就任
- 現在に至る
ご挨拶
東京医科歯科大学卒業後、同大学大学院にて博士号を取得、その後、同大学歯学部附属病院、都内のクリニックなどで研鑽を積んできました。
私の出身である東京医科歯科大学大学院う蝕制御学分野で学んだ最新の接着の技術を積極的に使うことで、歯をなるべく削らずに治療を行います。
予防を含め、患部の原因を診査し、患者様にとってなるべく負担が少なく、かつ適切な診察・治療を行うことを心がけております。
略歴
- 1987年
- 福岡生まれ
- 2012年
- 東京医科歯科大学歯学部歯学科卒業
- 2016年
- 東京医科歯科大学大学院博士過程修了 博士(歯学)
- 2017年
- 東京医科歯科大学う蝕制御学分野 医員
- 2018年〜2022年
- 東京医科歯科大学う蝕制御学分野 非常勤講師
- 2022年~
- 医療法人 英亨会 かのう歯科医院 院長就任
- 現在に至る
業績
Effect of enamel margin configuration on color change of resin composite restoration
Asami AIDA, Masatoshi NAKAJIMA, Naoko SEKI, Yukinori KANO, Richard M FOXTON, Junji
TAGAMI
Dental Material Journal , 2016 Volume 35 Issue 4 Pages 675-683
Influence of enamel prism orientations on color shifting at the border of resin
composite restorations
Yukinori KANO, Masatoshi NAKAJIMA, Asami AIDA, Naoko SEKI, Richard M. FOXTON, Junji
TAGAMI
Dental Material Journal , 2018 Volume 37 Issue 2 Pages 341-349
電車でお越しの方へ
筑肥線美咲が丘駅 出口 徒歩3分
お車でお越しの方へ
当院敷地内の駐車場をご利用ください。


